Los bultos producidos por los distintos tipos de cambio fibroquistico deben ser diferenciados del cancer y la distincion entre las variedad triviales y las no tan triviales puede hacerse mediante el estudio del material obtenido por aspiracion con aguja fina o mediante biopsia y estudio histologico.
Se dividen las alteraciones en patrones proliferativos y no proliferativos. Las lesiones no proliferativas incluyen quistes y/o fibrosis sin hiperplasia de las celulas epiteliales, conocidas como cambio fibroquistico simple. las lesiones proliferativas incluyen una gama de hiperplasias de las celulas epiteliales ductales o ductulares, de inocuas a atipicas, y la adenosis esclerosante.
CAMBIO NO PLOFIFERATIVO
- QUISTES Y FIBROSIS
El cambio no proliferativo se caracteriza por un aumento de la estroma fibrosa con dilatacion de los conductos y formacion de quistes de varios tamaños.
Macroscopicamente puede formarse un solo quiste grande en una mama, pero el trastorno suele ser multifocal y, a menudo, bilateral. Las zonas afectadas muestran aumento difuso y mal definido de la densidad y nodularidades discretas. Los quistes varian de tamaño entre menos de 1 y 5 cm de diametro. Sin abrir son de marrones a azulados (quistes de cupula azul) y estan llenos de liquido seroso, turbio. Los productos de secrecion de los quistes pueden calcificarse y aparecer en las mamografias como microcalcificaciones.
Histologicemente en los quistes mas pequeños el epitelio es mas cubico o columnar y a veces multiestratificado en areas focales. En quistes grandes puede estar aplanado o incluso completamente atrofico. En ocaciones una leve proliferacion epitelial produce masas apiladas o pequeñas excrecencias papilares. Con frecuencia los quistes estan revestidos por celulas poligonales grandes que tienen un citoplasma abundante, granular, eosinofilo, con nucleos pequeños, redondos, hipercromaticos, la llamada metaplasia apocrina que casi siempre es benigna.
El estroma que rodea todos los tipos de quistes suele ser tejido fibroso comprimido que ha perdido su aspecto mixomatoso, delicado, habitual. En esta y en todas las variedades de cambio fibroquistico es frecuente un infiltrado linfocitico de la estroma.


CAMBIO PROLIFERATIVO
- HIPERPLASIA EPITELIAL
Los terminos hiperplasia epitelial y cambio fibroquistico proliferativo abarcan una gama de lesiones proliferativas de los conductillos, los conductos terminales y, a veces, los lobulillos mamarios. Algunas de las hiperplasias son leves y ordenadas y tienen poco riesgo de evolucionar hacia carcinoma, pero en el otro extremo se encuentran las hiperplasias atipicas mas floridas, que tienen un riesgo considerablemente mayor. Las hiperplasias epiteliales van acompañadas a menudo de otras variantes histologicas de cambio fibroquistico.
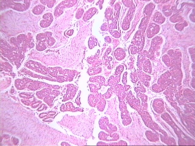
Microscopicamente hay un espectro casi infinito de alteraciones proliferativas. Los conductos, conductillos o lobulillos pueden estar llenos de celulas cuboides ordenadas, dentro de las cuales se pueden distinguir pequeños patrones glandulares (llamados fenestraciones). A veces el epitelio proliferativo se proyecta en multiples excrecencias papilares pequeñas en la luz ductal (papilomatosis ductal). El grado de hiperplasia, manifestado por el numero de capaz de la proliferacion epitelial intraductal, puede ser leve, moderado o grave. En algunos casos, las celulas hiperplasicas se vuelven monomorfas con complejos patrones arquitectonicos. Esta hiperplasia se llama atipica. Hiperplasia lobulillar atipica es el termino usado para describir las hiperplasias que se parecen citologicamente al carcinoma lobulillar in situ, pero las celulas no llenan ni distienden mas del 50% de los acinos de un lobulillo. La hiperplasia lobulillar atipica se asocia con un aumento del riesgo de carcinoma invasor.
La hiperplasia epitelial no causa por si misma, una masa mamaria definida. En ocasiones produce microcalcificaciones en la mamografia.

- ADENOSIS ESCLEROSANTE
Estas lesiones contienen fibrosis intralobulillar marcada y proliferacion de los pequeños conductillos y acinos.
Macroscopicamente la lesion tiene una consistencia dura, gomosa, similar al cancer de mama.
Microscopicamente la adenosis esclerosante se caracteriza por la proliferacion de celulas epiteliales de revestimiento y de celulas mioepiteliales de los conductos pequeños y de los conductillos, que producen masas de patrones glandulares pequeños dentro de una estroma fibrosa. Los conglomerados de glandulas o de conductillos proliferativos pueden estar practicamente adosados, estando capas de celulas unicas o multiples en contacto una con otra (adenosis). La fibrosis marcada de la estroma, que puede comprimir y distorcionar el epitelio proliferativo, siempre se asocia con la adenosis; de ahi la denominacion adenosis esclerosante. Esta proliferacion de tejido fibrosos puede comprimir por completo la luz de los acinos y de los conductos, de manera que parezcan cordones de celulas solidos.

No hay comentarios:
Publicar un comentario